Joint injections
Shoulder¶
- Shoulder is externally rotated to move biceps tendon out of the way
- Target is superior medial quadrant of humeral head, between 1- and 2-o'clock positions for right shoulder and 3–5 mm in from edge of cortex.
{ width="300" }
{ width="300" }
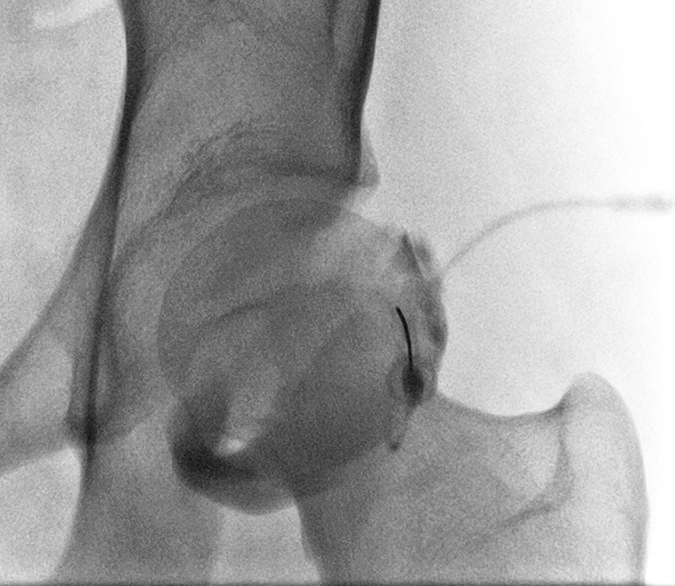
Hip¶
- Hip is internally rotated
- Easiest is lateral edge of bone but can also target lateral cortex and sliding along 2-3mm after making contact for a paracortical approach
- Lateral aspect targeted to avoid neurovascular structures and iliopsoas tendon
- Anterior and paracortical approaches respectively:
{ width="300" }
{ width="300" }
Needle sizes and lengths¶
| Location | Gauge | Length (in) |
|---|---|---|
| Shoulder (rotator interval or posterior approach) | 22 | 1.5 > 3.5 |
| Shoulder (anterior approach) | 22 | 3.5 |
| Elbow | 25 | 1.5 |
| Wrist | 25 | 1.5 |
| Hip | 22 | 3.5 > 6 |
| Knee | 22 | 1.5 >> 3.5 |
| Ankle | 25 | 1.5 |
| * > indicates more commonly used than, >> indicates much more commonly used than |
Arthrography¶
Medications and volumes¶
- MR arthrogram:
- 1:1 mixture of NS and omnipaque 300 with 1:200 gadolinium
- For a 20 mL solution: 10 mL NS, 10 mL omnipaque 300, and 0.05 mL (6 drops) gadolinium
- CT arthrogram:
- 3:1 mixture of omnipaque 300 and NS
- For a 20 mL solution: 15 mL omnipaque 300, 5 mL NS
| Location | 1% Lidocaine |
lodinated Contrast Medium |
0.5% Ropivacaine |
Normal Saline Solution |
Gadolinium | Total Volume Injected |
|---|---|---|---|---|---|---|
| MRI arthrography |
||||||
| Shoulder | 10 | 5 | 5 | 0.1 | 12 | |
| Elbow | 10 | 5 | 5 | 0.1 | 2-4 | |
| Wrist | 10 | 5 | 5 | 0.1 | 1-30 | |
| Hip | 5 | 5 | 5 | 5 | 0.1 | 12 |
| Knee | 20 | 10 | 10 | 0.2 | 40 | |
| Ankle | 10 | 5 | 5 | 0.1 | 2-4 | |
| CT arthrography | ||||||
| Shoulder | 10 | 10 | 12 | |||
| Elbow | 5 | 5 | 2-4 | |||
| Wrist | 5 | 5 | 1-30 |
Therapeutic injections¶
Medications and volumes¶
| Location | 1% Lidocaine (Preservative-Free) | 0.5% Ropivacaine | Triamcinolone Acetonide (40 mg/mL) | Total Volume Injected |
|---|---|---|---|---|
| Shoulder | 2 | 2 | 1 | 5.0 |
| Elbow | 2 | 2 | 1 | 2.5 |
| Wrist | 2 | 2 | 1 | 2.5 |
| Hip | 2 | 2 | 1 | 5.0 |
| Knee | 4 | 4 | 1 | 9.0 |
| Ankle | 2 | 2 | 1 | 2.5 |
- Attending preferences:
- Tivorsak - 1 lido/4 bupivicaine/1 triamcinolone (kenalog)
- Matcuk - 1 lido/4 bupivicaine/1 triamcinolone
- Giaconi - 2 lido/3 bupivicaine/1 triamcinolone